INICIO
MEDIOS TERAPÉUTICOS DE LA R.N.O.
 
La mayoría de los problemas de los dientes torcidos o protuberantes están relacionados con el desarrollo limitado de la estructura del hueso. Sin embargo, la creencia común de que el tamaño y la forma de la mandíbula son hereditarios, y por ello no se pueden cambiar, no es cierta. Siguiendo las leyes de desarrollo de Planas se diseñan una serie de aparatos, muy sencillos y bien tolerados, que actuando por presencia y favoreciendo el movimiento estimulan el desarrollo de los maxilares.
Pedro Planas creó una serie de técnicas para tratar la patología o para prevenir su aparición como los tallados selectivos en dentición temporal o en permanente, las placas Planas, las pistas directas y el Equi-Plan o equilibrador Planas.
Con la RNO: no hay que esperar, no hay que extraer dientes y no hay que ferulizar ningún diente al terminar el tratamiento. En las revisiones solo hay que controlar que el paciente mastica por los dos lados de forma alternativa.
El objetivo final es conseguir una oclusión adecuada para que exista función de masticación eficaz y por ambos lados lo que permitirá a esos maxilares seguir su desarrollo evolutivo normal. El objetivo es permitir que la mandíbula FUNCIONE a través del movimiento siendo éste el que provoca el desarrollo.
Para obtener esta boca equilibrada es imprescindible obtener un buen desarrollo de todo el aparato estomatognático, lo que fundamentalmente se logra con medidas profilácticas o con tratamientos muy precoces que actúen sobre los centros neurales receptores que proporcionan las respuestas de desarrollo del sistema estomatognático. La lactancia materna conforme a la naturaleza, la respiración nasal, la masticación fuerte, dura y seca, la vigilancia y control de los malos hábitos bucales y de la deglución correcta son los ejes de la profilaxis en los primeros años de vida. Las armas de actuación de que disponemos cuando se detecta un desvío del desarrollo en la dentición temporal son el tallado selectivo, las pistas directas y las placas con pistas indirectas. Elementos que desbloquean el freno al desarrollo y que ayudan a recuperar el crecimiento de los maxilares.
Casi todos los problemas del crecimiento de los maxilares empiezan a edades muy tempranas, por eso, lo mejor es la prevención, como por ejemplo dar el pecho a los bebés. Antes de los cinco años ya se diagnostican la mayor parte de los problemas y un tratamiento temprano aumenta la probabilidad de una corrección completa, reduce el tiempo de tratamiento e impide el establecimiento de patologías muy deformantes que sin tratamiento precoz necesitarían más tarde cirugía. Los niños son normalmente muy cooperativos y a menudo lo encuentran divertido.
No es necesaria la extracción de ninguna pieza para hacer sitio, y ello se consigue estimulando el desarrollo de los maxilares. En ninguna rama de la medicina cuando existe patología se espera. En nuestro campo tampoco debemos hacerlo. Este tipo de tratamiento es muy fisiológico: no luchamos contra la naturaleza, no forzamos a los dientes a ir a un determinado sitio, sino que provocamos estímulos para un desarrollo adecuado.
En los pacientes adultos, con la patología ya establecida, disponemos de armas como el tallado selectivo, descrito por Pedro Planas y que responde a un protocolo muy estricto, para devolver el equilibrio perdido a una boca patológica. La recuperación de ese equilibrio oclusal será la llave de la salud del paciente.
En determinadas ocasiones el empleo de placas con pistas indirectas será necesario para modificar la forma de los maxilares como paso previo a la recuperación del equilibrio oclusal. Así mismo, el uso del aparato más importante de la Odontología: el EQUI-PLAN, vehículo de la equilibración de la oclusión y de la rehabilitación de las articulaciones temporomandibulares.
 
Las placas Planas con sus pistas de rodaje son los aparatos fundamentales en la aplicación de la terapéutica de la RNO.
...nuestras placas no actúan ejerciendo presión, fuerza ó buena retención. Las placas Planas actúan por presencia, siendo ésta su base fundamental.
Entendemos por "acción por presencia" el ligero movimiento dentario de liberación linguovestibular, que se produce como consecuencia a la colocación de una simple placa palatina o lingual de acrílico.

La fresa tipo "donuts" es la utilizada habitualmente para el tallado selectivo.

Resina acrílica para la técnica del gota a gota utilizada para la construcción de los aparatos. Alambres de 0.7, 0.8, 0.9 ó de media caña. Alicates. Cera.

Compás de Korkhaus para la medición de los
diámetros transversales de las arcadas y su
profundidad.

Calibre para la medición del diámetro mesiodistal de los incisivos para las tablas de Korkhaus.

Aparato para desarrollo transversal en maxilar
superior con su tornillo Planas, sus pistas
indirectas y sus estabilizadores.

Aparato para desarrollo transversal en maxilar
inferior con su tornillo Planas, sus pistas
indirectas, sus estabilizadores y sus topes oclusales.

Aparato para el tratamiento de las distoclusiones en biotipos negativos, denominado biela central.

Aparato concebido por el dr. Planas que tiene la función de equilibrar la boca en su desarrollo y corregir las sobremordidas de componente inferior: EQUIPLAN

 
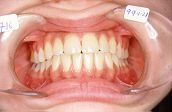
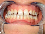
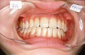
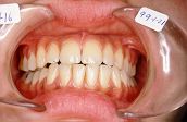
Anabel: Con siete años, tiene mordida cruzada lateral, mandíbula prognática y falta de desarrollo. La vemos once años después de acabar el tratamiento y observamos cómo al mover la boca frotan todos los dientes de la arcada superior contra todos los de la arcada inferior sin separarse.
 
Imanol: Las mordidas cruzadas unilaterales nacen de un hipodesarrollo del maxilar superior que provocan una interferencia dentaria. Siempre habrá que eliminar esa interferencia con un tallado selectivo que centre la articulación. En la mayoría de los casos deberemos complementar con el uso de las pistas directas de composite.
Según la edad y el caso tendremos o no que recurrir al uso de placas de desarrollo que recuperen el déficit de desarrollo original del caso.
 

Amaia: Dificultad para masticar con dolor mandibular, cefaleas y problemas en su ATM derecha. Masticación Unilateral Derecha con AFMPs asimétricos. Desequilibrio oclusal. Mediante tallado selectivo se le modifican sus AFMPs y se le recupera el equilibrio oclusal necesario para controlar sus molestias y sus problemas en ATMs.