FISIOLOGIA
Y PATOLOGIA SEGÚN LA R.N.O. |
||
| Lo primordial e imprescindible para poder hacer un diagnóstico
de cualquier estado patológico de nuestro sistema es conocer exactamente
cómo debe ser en estado normal, tanto en relación a la forma
como también en relación al tiempo. El sistema masticatorio
es un órgano en constante evolución y cambio madurativo. Por
una parte debe tener la forma que facilita la función correcta, y
esa función masticatoria adecuada es la que ha creado la forma correcta
del aparato masticatorio. La función, además, va modelando
el órgano a lo largo de la vida para, manteniéndolo en equilibrio,
que conserve la salud. La naturaleza nos dota de un sistema estomatognático para ejercer el primer acto digestivo de la alimentación: la masticación. Para esto nos dota de un mecanismo muy complicado y todo él debe ser excitado funcionalmente a fin de que se mantenga con vitalidad permanente. Es necesario que todos los dientes inferiores froten contra todos los superiores en los movimientos de lateralidad mandibular, a derecha e izquierda, que deben ser realizados para esta molienda. La masticación debe ser bilateral o mejor dicho, unilateral alternante. Debe poder realizarse de manera alternativa y espontánea. Con contactos de trabajo en el lado de trabajo y contactos de balanceo en el lado contrario. Y con los parámetros oclusales adecuados a la edad del individuo. El Dr. Planas, tras muchos años de observación directa, descubrió las Leyes de desarrollo del sistema estomatognático que llevan su nombre, y que son fundamentales para entender el diagnóstico y la patología además de ayudarnos en el tratamiento. Describió la ley de la mínima dimensión vertical y los ángulos funcionales masticatorios, conceptos que nos ayudan a entender el funcionamiento del sistema masticatorio. La R.N.O. busca la profilaxis de las parodontopatías teniendo en cuenta que la causa fundamental de la enfermedad parodontal es el trauma oclusal, siendo la principal causa la falta de equilibrio oclusal. La prevención de los trastornos de las ATMs se logra con el mantenimiento del equilibrio oclusal. Equilibrio oclusal en el sentido del descrito perfectamente por Gysi; el equilibrio de una OCLUSIÓN BIBALANCEADA con contactos de todos los dientes superiores contra todos los inferiores y tanto en trabajo como en balanceo, la única excepción es en el lado de balanceo donde precisamente el canino deja de contactar. Equilibrio que cumple las leyes de Hanau. Si no hay función y equilibrio, más tarde o más temprano, antes o después de la pubertad, aparecen las recidivas y las lesiones parodontales por desequilibrio, disfunción y trauma oclusal, problemas que suelen justificarse como ley de vida y de senectud. Si una boca se mantiene en equilibrio y desarrolla una función fisiológica, o se la recupera en un momento determinado de su desarrollo con técnicas adecuadas, no sufrirá recidivas ni lesiones parodontales y se mantendrá hasta la senectud con una fisiología perfecta. Un tallado selectivo, bien hecho, por ejemplo a los dos años, puede salvar una boca para toda la vida. Para nosotros ésta es la verdadera medicina de la boca. |
||
| Los Angulos Funcionales Masticatorios Planas ó AFMPs
son los parámetros que nos dan una referencia muy cercana a cual
es la tendencia masticatoria del individuo. Su modificación es uno
de los conceptos importantes de la terapéutica en la RNO. En este caso vemos la boca de un niño de unos 12 años que presenta un AFMP izdo notablemente menor que el dcho. Ello le aboca a una masticación unilateral izda que, al darse a una edad tan joven, tendrá como consecuencia un desarrollo asimétrico grave de sus maxilares, de sus ATMs y lo que es más grave, de su plano oclusal. |
||
![]() |
![]() |
![]() |
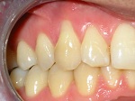
| Oscar es un varón adulto joven con múltiples recesiones gingivales motivadas por un desequilibrio oclusal, que ocasiona sufrimiento en el parodonto de determinados dientes, y por unos valores de AFMPs inadecuados para su edad. Presenta ausencia de funcionalización dentaria. | ||
![]()
|
|
|
| Carlos es un varón adulto joven que presenta una retracción
gingival grave en el canino superior derecho, motivada por un desequilibrio
oclusal y unos AFMPs asimétricos y con un valor inadecuado. Se aprecia la sobrecarga que sufre el canino superior derecho debido al AFMP mayor. |
![]() |
|
![]() |
![]() |
![]() |
|
|
Conchi es una mujer adulta que presenta un deterioro parodontal importante. AFMPs asimétricos y disfuncionales con doble oclusión y deglución atípica. Presenta una interferencia de céntrica grave en una corona cerámica en el último molar superior dcho. | ![]() |
![]() |
![]() |
![]() |