| METODO DE REGISTRO DE MORDIDA PARA LA FABRICACION DEL EQUIPLAN Dr. José Manuel Sampietro ( El "invento" más representativo de Pedro Planas, pienso que es, sin lugar a dudas el Equi-Plan. Colocarlo en boca es un desafío. El Dr. José Manuel Sampietro ha preparado este trabajo para mostrarnos la manera de fabricar el equi-plan buscando conseguir un funcionamiento correcto del aparato en boca.) |
||
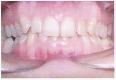
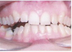
SOBREMORDIDA//MASTICACIÓN
VERTICAL |
||
|
|
![]() |
|
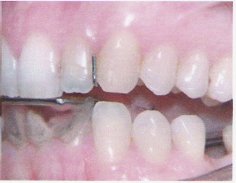
| Se fabrica la parte inferior del aparato poniendo el equiplan centrado y paralelo al plano oclusal recubriendo con una pestaña de acrilico los incisivos inferiores. |
![]() |
![]() |
Se
prueba en boca y se marca la línea media inferior en el acrílico
con un rotulador. |
||
|
![]() |
![]() |
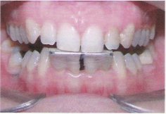
Se calientan dos rodillos de cera y con el aparato en boca se le hace cerrar al paciente en la posición deseada. |
||
![]() |
![]() |
![]() |
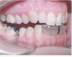
Se
transfiere este registro a los modelos en escayola. |
||
|
![]() |
![]() |
Se
fijan bien y se montan en el oclusor. |
||
![]() |
![]() |
![]() |
Se
fabrica la parte superior del aparato y se termina. |
||
![]() |
![]() |
![]() |
Equiplan
terminado. |
||
![]() |
![]() |
![]() |
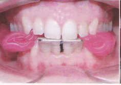
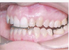
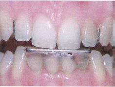
Instalado
en la boca del paciente. |
||
![]() |
![]() |
![]() |
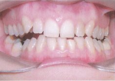
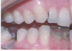
Posteriormente se puede eliminar el acrílico anterior a los incisivos inferiores. Acrílico
inferior retirado |
||
![]() |
![]() |
![]() |
![]() |
![]() |
![]() |
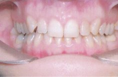
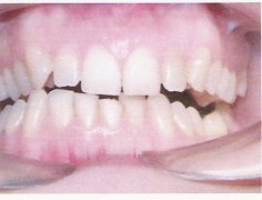
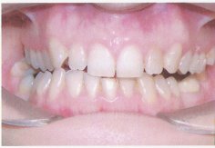
Dos
meses después de colocado Se aprecia mejora de los movimientos funcionales, corrección de la sobremordida y mejor situación del plano oclusal |
||