DESARROLLO DE LOS MAXILARES Y MALOCLUSIONES
Clínica Dental Dr. Jesús María Martínez Gil

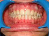
Conocemos gracias al dr. Planas cómo debe ser la boca en cuanto a forma y función, según la biotipología y edad del paciente.

Fundamental para diagnosticar y tratar los problemas de desarrollo de los maxilares.
La boca se debe desarrollar teniendo en cuenta los 3 planos del espacio: crecer a lo alto, a lo ancho y a lo largo.
Y transmitiendo ese desarrollo a la zona de las ATMs.

Bajo este concepto actúan los aparatos diseñados por el dr. Planas para conseguir el equilibrio oclusal de las bocas, que luego será clave para que se mantengan en equilibrio y salud.

 
Tratamiento con aparatos para desarrollo transversal
o para tratamiento de progenies mandibulares
Tratamientos
SIEMPRE
a edad temprana
El equiplan es el aparato fundamental y representativo
de la RNO. Sirve de guía para el establecimiento del correcto plano oclusal. Fundamental para obtener un correcto equilibrio oclusal